
Smile Gallery
Smile Gallery
Real Smiles. Real Results.
Explore Our Smile Gallery and See What’s Possible
At Mint Dental Care, we believe everyone deserves a smile they’re proud to show off. From full-arch implants to cosmetic makeovers, every transformation you see here represents a patient who chose comfort, innovation, and expert care. These results were made possible with advanced technology, same-day solutions, and a team who truly listens.
When you’re ready, we’re here to help you achieve the smile you’ve always wanted without fear, pressure, or judgment.


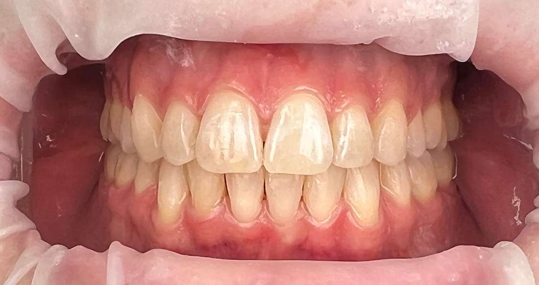
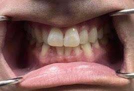
before

after

Same-Day Implants & Teeth-in-a-Day
before

after

All on X
before

after

All on X
